RM dhe TK janë metoda diagnostike në radiologji që përdoren për të zbuluar probleme të ndyshme në brendësi të trupit, edhe atë plotësishtë në mënyrë joinvazive. Zakonisht për: tumoret, frakturat, patologjitë e ndryshme të indeve të buta, gjakderdhjet, sëmundjet e enëve të gjakut, infeksionet apo lëndimet. Për të përcaktuar llojin e metodës diagnostifikuse është e rëndësishme të dihet se çka kërkohet të vizualizohet dhe arsyen për të cilen duhet të bëhet ky ekzaminim.
Gjatë ekzaminimit, të dy metodat përdorin (sipas nevojës) substancën e kontrastit. Kontrasti ndihmon në dallimin e indeve normale nga indet anormale. Gjithashtu ndihmon në diferencimin e enëve të gjakut nga struktura të tjera të tilla si nyjet limfatike.

- Rezonanca magnetike – është procedurë pa dhimbje. Procedura mund të përsëritet aq sa është e nevojshme duke mos shkaktuar efekte anësore përshkak se nuk përdoren rrezet X. RM punon mbi principin e fushës magnetike, dhe si e tillë, nuk preferohet për persona të cilet kanë implante metalike, klipse të ndryshme kirurgjikale ose PaceMaker. Poashtu personave klaustofobik (fobi nga hapësirat e mbyllura), paraprakisht iu jepet anestetik, nga fakti se pacienti gjatë ekzaminimit të një RM futet në brendësinë e një cilindri të madh.

- Tomografia e Kompjuterizuar – është procedurë pa dhimbje. Procedura rekomandohet vetëm për arsye të forta mjekësore përshkak se punon me rrezatim jonizues (doza efektive e rrezatimit nga ky ekzaminim është rreth 10mSv, e njëjtë me vlerën mesatare të rrezatimit që një person merr në tre vjet nga rrezatimi diellor). CT nuk rekomandohet për gratë shtatzëna për shkak të rrezikut të madh që ka tek fetusi.
Në krahasim me RM, kjo metodë është më e lirë.
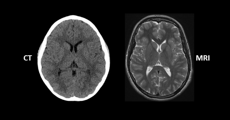
Dallimet kryesore:
1. Ekzaminimi me RM nuk ka rreze jonizuese (rreze X), përderisa TK përdor rreze jonizuese.
2. Me RM është e mundur të bëhen imazhe nga të gjitha drejtimet (multiplanare) përderisa me TK vetëm imazhe në një kënd.
3. Kohëzgjatja e ekzaminimit me RM është nga 45 – 1 orë, përderisa TK zgjat rreth 10 minuta.

Përgatiti dhe përshtati:
WWW.STUDENTET.MK